(本网消息)
在神经内科住过院的患者,有很多人听说过或者做过DSA检查。那么什么是DSA呢?DSA又称数字减影血管造影术,是通过股动脉或桡动脉穿刺置入动脉鞘,通过动脉鞘管选用不同导管,在导丝的引导下,进入所要显示的动脉,注入含碘造影剂。造影剂所经过的血管轨迹连续摄片,通过电子计算机辅助成像而成为血管数字减影造影。
近年来,我国心脑血管疾病发生率逐年上升,冠心病、急性心肌梗死、急性脑梗死等病人逐年增多,微创介入治疗在抢救工作中扮演着越来越重要的角色。采用介入技术救治急危重症病人、为患者赢得生命时间,已成为不可阻挡的趋势。我院最新引进飞利浦全新“睿”系列 — Azurion全能型大平板血管造影系统。作为业内公认的血管机金牌产品,飞利浦血管机始终以其超前的设计理念、无可比拟的技术优势和强大的临床功能赢得了包括中国在内的世界各地医疗机构的称赞和青睐。

DSA检查
DSA适用于全身血管性疾病及肿瘤的检查及治疗,主要应用于冠心病、心律失常、急性脑卒中、内脏及外周血管性出血等疾病介入治疗。DSA检查是所有血管疾病检查的“金标准”。
介入治疗
介入治疗就是在不开刀的情况下,利用纤细的导管、导丝等特殊器械,经血管或人体原有的其他管道,在影像设备(血管造影系统是其中最主要、最重要的影像设备)的引导下对病灶局部进行治疗的创伤最小的治疗方法。
介入治疗优势
介入治疗具有创口小(微创,皮肤仅留针眼大小的伤口)、靶向性强(靶向作用于病变部位,进行针对性的治疗,避免对正常组织的损伤)、安全性高(局麻,对其他部位没损伤或损伤极小);治疗高效(提高病变部位药物浓度,减少药物用量)、可重复操作性强(可经同样途径、方法多次治疗,巩固治疗效果)等优点,以最小的痛苦、最优质的服务,解决很多常见病、多发病以及难治疾病,避免了开胸开腹等大手术的痛苦,是广大患者的福音。
介入导管室主要手术范围
1.心脏介入:冠状动脉造影术、冠状动脉支架植入术、经导管瓣膜置换术、先天性心脏病封堵术、起搏器植入术、各种快速性心律失常、室性心动过速及房颤的射频消融根治术。
2.神经介入:全脑血管造影、脑缺血取栓术、脑动脉瘤栓塞术、颈动脉支架术。

上图:病患右颈内动脉造影显示大脑中动脉
有动脉瘤
上图:经弹簧圈栓塞后,动脉瘤萎缩消退
其它手术范围
1.血管介入:主动脉瘤及主动脉夹层,肾动脉狭窄,糖尿病足,甲亢,脾亢,深静脉血栓,门脉高压症 、TIPS(经颈静脉肝内门体静脉分流术),经皮穿刺肝、脾胃底食道曲张静脉栓塞术。
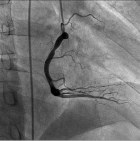
病患的右冠狭窄 DSA支架植入 右冠状动脉恢复正常供血,病人病情缓解
2.肿瘤介入:原发性、转移性肝癌,肝血管瘤,胃癌,大肠癌,肾癌,盆腔恶性肿瘤等化疗药物灌注及栓塞术。
3.妇产科介入:输卵管阻塞不孕症,产后大出血,子宫肌瘤,子宫腺肌瘤,子宫颈癌,子宫内膜癌,卵巢癌、阴道恶性肿瘤。
4.骨科介入:骨与软组织恶性肿瘤,椎体血管瘤,椎体转移瘤。
5.非血管介入:消化道狭窄及梗阻,呼吸道梗阻,泌尿系统梗阻,梗阻性黄疸的诊断及引流、内支架植入术。
6.出血介入:上消化道出血、内出血、创伤性出血的诊断及栓塞治疗。
DSA启用意义
介入手术室的启用标志着我院在心血管、脑血管、外周血管等介入治疗方面的发展将进入新的领域,让区域范围及周边地区人民群众在家门口就能享受到高端医疗服务。
图文来源:自媒体宣传中心