首页 >> 医院动态 >> 车祸外伤,骨科巧术+康复治疗,她送来了双份诚挚的“谢意”!

车祸外伤,骨科巧术+康复治疗,她送来了双份诚挚的“谢意”!

发布时间:2024/3/26 18:57:38 次浏览 分类:医院动态

(本网消息)

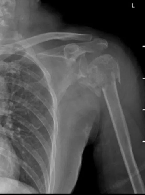
近日,金华籍58岁陈阿姨在兰溪发生车祸,致左肩粉碎性骨折,被送到我院骨伤科住院治疗。


 
术前三维CT                                                                       术前片


陈阿姨骨折部位损伤严重,骨伤科蒋晶飞主任医师和程江浙医师为患者进行诊断后,考虑简单的切开复位钢板内固定手术难以达到理想效果。综合评估后,为她制定并实施“左肩关节部分置换术”,手术过程顺利。术后,程江浙医师指导并辅助陈阿姨早期功能锻炼。病情稳定后,转到我院康复科继续高质量康复锻炼。经过住院期间的精准治疗和后期的康复健康指导,目前陈阿姨恢复良好。



“真的是太感谢你们了!我现在恢复的非常好,你们中医院的医生、护士们非常细心负责,医术也好,这面锦旗我一定要送到你们手中.....”陈阿姨激动地说。

锦旗,是荣誉,同时也是责任。一声感谢包含着患者对我院诊疗技术的认可,对医院优质服务态度的肯定。

今后,我们将继续以严谨的工作态度、一流的医疗技术、饱满的服务热情为广大患者竭诚服务。


术后片


科室介绍

骨伤科

维多利亚线路检测中心骨伤科是兰溪市重点学科、金华市中医药重点专科。

科室现开设三个病区,150张固定床位,医生20人,金华市名中医1人,兰溪是名中医一人,科室人员梯队完善。科室人员先后赴上海六院、温附二院、浙医二院、省人民医院等医院进修学习,具有扎实的基础理论知识和丰富的临床经验。年门诊量约2万余人次,年手术量达2000余台,三、四类手术占比达百分之五十以上。

在不断提高业务能力的同时,科室积极开展骨科领域的新技术、新项目和科研课题,科室分脊柱外科,关节外科,手足外科,创伤外科,脑外科五个医疗组,能够熟练开展人工髋、膝、肩关节置换术、髋膝关节翻修术、关节镜手术(肩袖损伤、前后交叉韧带断裂、半月板损伤等)、腰椎融合术、颈胸腰椎骨折切复内固定术、 PVP、PKP、腰突症椎间孔镜微创手术、简单复杂创伤手术,断肢再植,创面缺损的皮瓣转移术,血管,神经移植术,颅脑钻孔引流术,去骨瓣颅内血肿清除术等,并且结合传统中医正骨无创医学技术,疗效事半功倍。


康复科

维多利亚线路检测中心康复科是浙江省县级中医药优势学科建设项目,浙江省“十三五”中医药重点专科,兰溪市第一批医学重点学科,是传统医学与现代医学相结合的科室。

目前共有医师5人,治疗师7人,护士10人。科室主要收治脑卒中康复、骨折术后康复、脊髓损伤康复、颅脑损伤术后康复等。病区现开放床位50张,配备有下肢机器人、三维步态分析仪、语言训练仪、经颅磁刺激治疗仪等先进的康复设备。以专业的康复技术,改善患者肢体功能,提高生活质量,让患者能够更好地回归日常生活。积极引入先进康复理念,与时俱进,中西医结合。康复设备齐全,诊疗水平领先,中医优势明显。


图文来源:自媒体宣传中心